Преображение улыбки в Стамбуле — голливудская улыбка, имплантаты, коронки в Стамбуле

Цена пакета

$3,500 Цена от

Отзывы о медицинском центре

52 Reviews No reviews yet.

Поделиться с помощью ИИ

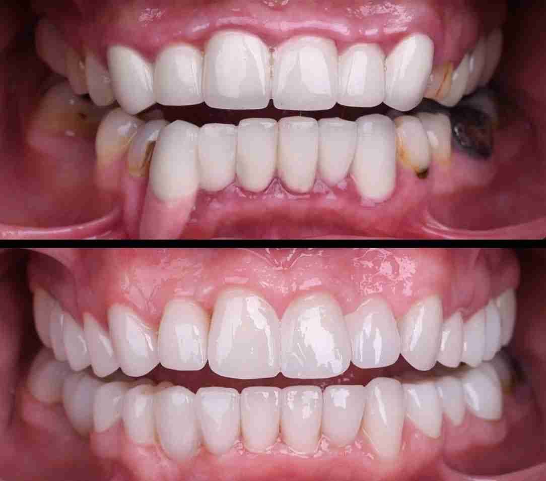
package-slider-img
package-slider-img
package-slider-img
package-slider-img

Откройте для себя доступную стоматологию в Турции уже сегодня!

Наши стоматологические услуги

1. **Отбеливание зубов**
- Профессиональное отбеливание зубов в стоматологическом кабинете для мгновенного результата.

2. **Зубные виниры**
- Фарфоровые виниры для естественной, безупречной улыбки.
- Композитные виниры — более доступный вариант.

3. **Дентальные имплантаты**
- Имплантаты одного зуба для замены отсутствующих зубов.
- Мостовидные протезы или зубные протезы с опорой на имплантаты для нескольких зубов.

4. **Invisalign® и прозрачные элайнеры**
- Прозрачные съемные каппы для незаметного выравнивания зубов.
- Индивидуальные планы лечения для всех возрастов.

5. **Зубные коронки**
- Фарфоровые или керамические коронки для восстановления поврежденных зубов.
- Изготовление коронок в тот же день с использованием передовой технологии CAD/CAM.

6. **Стоматологическая фиксация**
- Склеивание композитными смолами для ремонта сколов, трещин и щелей.
- Быстрое и доступное косметическое решение.

7. **Контурирование десен**
- Исправление неровностей линии десен для создания сбалансированной улыбки.
- Лазерная коррекция контура десен для минимального дискомфорта.

8. **Преображение улыбки**
- Комплексные планы лечения для преображения вашей улыбки.
- Индивидуальные комбинации отбеливания, виниров и многого другого.

9. **Ортодонтическое лечение**
- Традиционные брекеты для решения сложных проблем с выравниванием зубов.
- Лингвальные брекеты (скрытые за зубами) для незаметного лечения.

10. **Мостовидные зубные протезы**
- Фиксированные мосты для замены отсутствующих зубов.
- Эстетическая и функциональная реставрация.

11. **Полная реконструкция полости рта**
- Восстановительные и косметические процедуры для восстановления и улучшения вашей улыбки.
- Идеально подходит для пациентов с обширными стоматологическими проблемами.

12. **Лазерная стоматология**
- Минимально инвазивные процедуры по изменению формы десен, удалению кариеса и т. д.
- Более быстрое заживление и уменьшение дискомфорта.

13. **Детская косметическая стоматология**
- Косметические процедуры, подходящие для маленьких пациентов.
- Ранняя ортодонтическая оценка и лечение.

14. **Украшения для зубов**
- Индивидуальные зубные камни или грили для создания уникального, стильного образа.
- Безопасные и временные косметические улучшения.

15. **Snap-On Smile®**
- Съемный, изготовленный на заказ стоматологический аппарат для мгновенного преображения улыбки.
- Неинвазивный и доступный вариант.

16. **Профилактические и сервисные услуги**
- Регулярные чистки и осмотры для поддержания косметического результата.
- Индивидуальные ночные каппы для защиты вашей улыбки от скрежета.

---

**Почему выбирают нас?**
- **Эксперты в области косметической стоматологии**: наша команда специализируется на создании естественных, потрясающих улыбок.
- **Современные технологии**: мы используем новейшие инструменты и методы для обеспечения точности

Запишитесь к нам на консультацию, чтобы узнать точную стоимость вашего лечения.

Преображение улыбки в Стамбуле — голливудская улыбка, имплантаты, коронки в Стамбуле thumbnail

О пакете

  • Translations: EN ES AR DE FR IT NL RO RU
  • Ассоциированный центр: Bellus Clinic
  • Уход: Dentistry, Smile Makeover, Dental Bridges, Dentures (Full mouth) Abroad, Hollywood Smile, Cosmetic Dentistry, Bone Graft, All on 8 Dental Implants, All on 6 Dental Implants, All on 4 Dental Implants
  • Расположение:
    Merkezefendi, Mevlana Cd. No:114, 34015 Istanbul, Turkey, Turkey
  • Область фокусировки: Стоматология | Турция | Косметическая стоматология | Имплантология | Ортодонтия
  • Overview